about RadEx

We Care About Your
Better Health

RadEx Telediagnostic solution is a technology-driven company that provides remote radiology reporting services to healthcare organizations globally. The company's mission is to improve patient outcomes by providing fast, accurate and cost-effective radiology reporting services to healthcare organizations.
Our services

We serve best Radiology report service

Routine Scans

Routine Scans
Routine scans refer to the non-emergency scans and are most commonly ordered scans, such as X-rays, CT scans, and MRI scans, which are interpreted by trained radiologists to aid in diagnosis and treatment planning.

Fluroscopic

Fluroscopic procedure
Fluoroscopy procedures are medical imaging tests that use X-rays to produce real-time, moving images of the inside of the body.

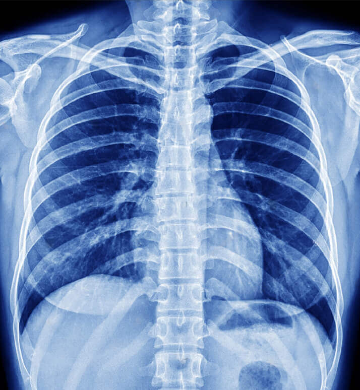
Digital Xray

Digital Xray
Digital X-ray is an advanced imaging technology that uses electronic sensors to capture images of the inside of the body.

CT scans

CT scans
A CT scan, or computed tomography scan, is a medical imaging test that uses X-rays and computer technology to create detailed images of the inside of the body.

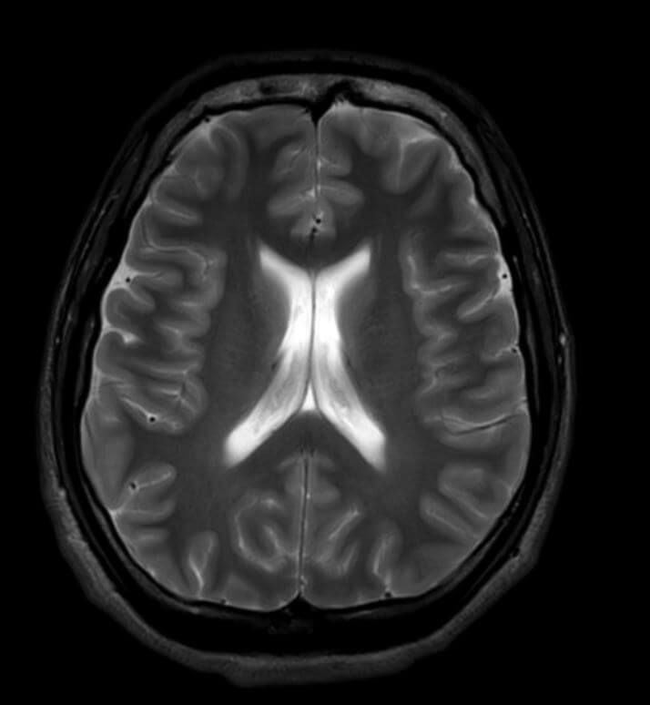
MRI

MRI
An MRI scan, or magnetic resonance imaging scan, is a non-invasive medical imaging test that uses a strong magnetic field and radio waves to create detailed images of the inside of the body.

Women Imaging

Women Imaging
Women's imaging in radiology is a specialized field of medical imaging that focuses on imaging the female reproductive system and breasts.

Dental radiologys

Dental radiologys
Dental radiography is a type of X-ray imaging that is used to capture images of teeth, gums, and other oral structures.

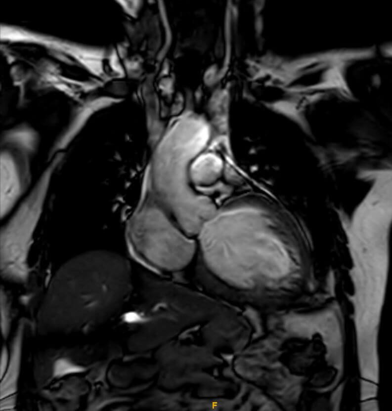
Cardiac Imaging

Cardiac Imaging
Cardiac imaging in radiology is a specialized field of medical imaging that uses various imaging techniques to visualize the heart and its surrounding structures.

Feel Free to connect us

Urgent call for patient 0808 274 3429
why choose us

Why RADEX TDS

  • Fast turnaround times RadEx TDS provides rapid interpretations of medical images, ensuring that patients receive the care they need as quickly as possible.
  • Expert radiologists The company employs a team of highly skilled and experienced radiologists who are trained to interpret even the most complex medical images.
  • Quality assurance RadEx TDS follows strict quality assurance protocols to ensure that all interpretations are accurate and meet the highest standards of care.
0K

Total MRI scans reported

0+

Xrays

0M

CT scans

0k

MRIs

Frequently asked questions

Provides answers to questions consulting?

  • What is teleradiology?
    Teleradiology is the transmission of medical images, such as X-rays, CT scans, and MRI scans, from one location to another for the purposes of interpretation and diagnosis.
  • What services does RadEx TDS offer?
    RadEx TDS offers a wide range of teleradiology services, including interpretation of medical images, second opinions, remote consultations, and AI-powered image analysis.
  • How long does it take to receive an interpretation of my medical images?
    RadEx TDS provides rapid turnaround times for its teleradiology services, with most interpretations delivered within 4 hours.
  • Are RadEx TDS's radiologists board-certified?
    Yes, all of RadEx TDS's radiologists are board-certified and highly experienced in their field.
  • Is RadEx TDS HIPAA-compliant?
    Yes, RadEx TDS is fully HIPAA-compliant and takes the privacy and security of patient information very seriously.
TOP